
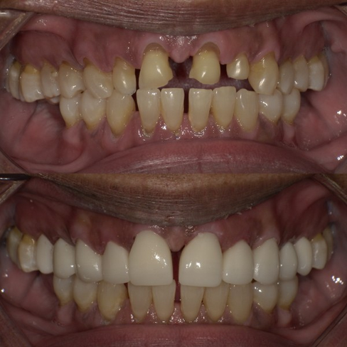
Cosmetic veneers are ultra-thin porcelain shells that cover the front surface of teeth to create a beautiful, natural-looking smile. At Dolan Dental in Warminster, Dr. Fran Dolan uses advanced techniques and high-quality materials to craft custom veneers that transform discolored, chipped, or misaligned teeth. Our precision approach ensures your veneers look and feel completely natural while giving you the confident smile you've always wanted.
We offer a wide range of services to help you achieve your goals.
Premium ceramic veneers that provide exceptional durability and the most natural appearance.
Ultra-thin veneers requiring minimal tooth preparation while maintaining strength and beauty.
Comprehensive veneer treatment combining multiple teeth for complete smile transformation.

Individual veneer treatment to address specific cosmetic concerns on single teeth.


Dr. Dolan's advanced training and artistic eye create stunning, natural-looking results.

We use digital design and premium ceramics for precise, beautiful veneer results.

At Dolan Dental, we believe your smile should reflect your personality and boost your confidence. Our custom veneers don't just cover imperfections—they enhance your natural beauty and create the smile you've always envisioned. Using artistic skill and advanced technology, we'll craft veneers that look so natural, even you'll forget they're there.